
Врач-гинеколог
Информация в статье предоставлена для ознакомления и не является руководством к самостоятельной диагностике и лечению. При появлении симптомов заболевания следует обратиться к врачу.
ЧТО ТАКОЕ ДИСПЛАЗИЯ?
Дисплазия шейки матки – довольно распространенный диагноз, однако тот факт, что она зачастую протекает без явных симптомов, создает у пациенток ложное впечатление о том, что это заболевание безвредно. На самом деле, дисплазия может развиваться в рак шейки матки, от которого умирает 11,6% женщин, большинство из них в довольно молодом возрасте.
Что же такое дисплазия? Попросту говоря, это нетипичные клетки в эпителии, укрывающем шейку матки. В 99% сучаев развитие дисплазии шейки матки провоцируется вирусом папилломы человека (ВПЧ), опасность заражения которым чрезвычайно высока – 80% при половом контакте. Профилактика ВПЧ (прежде всего, особо канцерогенных штаммов HPV16 и HPV18) – важная мера в борьбе с дисплазией и раком шейки матки.
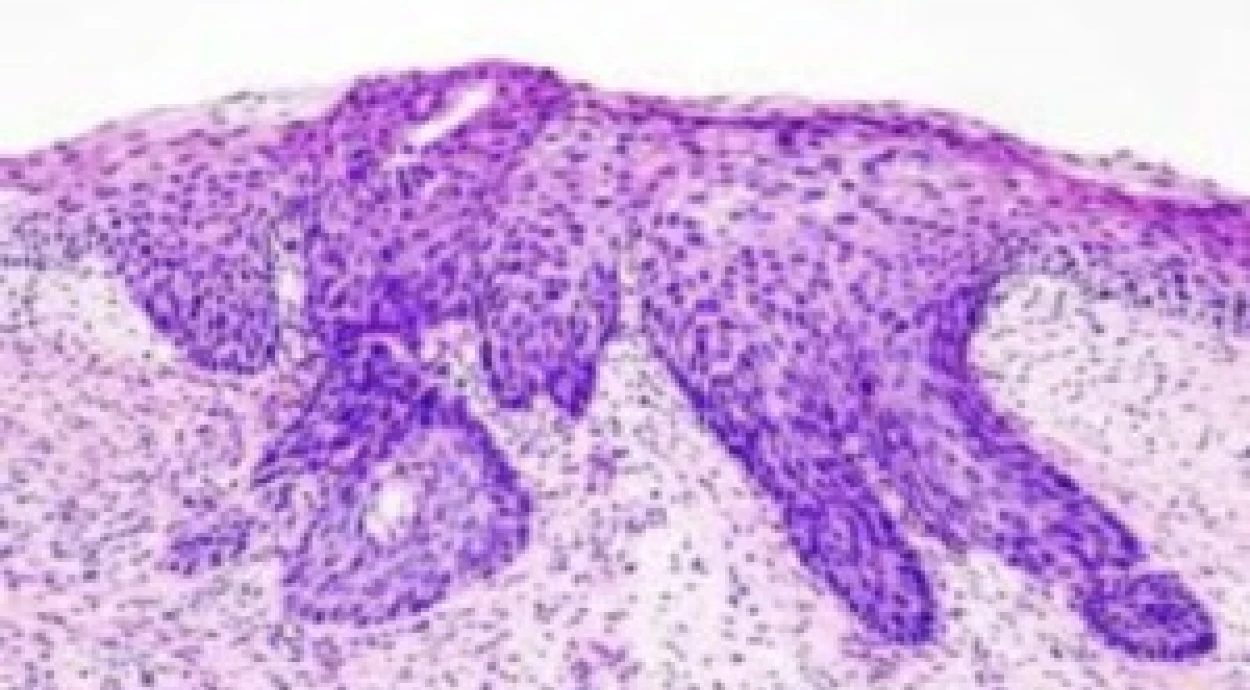
Дисплазия шейки матки в своем развитии проходит три стадии:
- первая степень диагностируется, когда изменения задевают не более 1/3 толщины эпителия;
- вторая, умеренная степень более выражена, при ней поражена половина толщины эпителия;
- тяжелая дисплазия наступает при поражении 2/3 эпителия шейки матки.
КАКИЕ РИСКИ НЕСЕТ ДИСПЛАЗИЯ ШЕЙКИ МАТКИ?
Если у вас диагноз «дисплазия шейки матки» не стоит паниковать, всего лишь у 1% женщин болезнь развивается с первой степени до второй и третьей, а 74% женщин со второй степенью выздоравливают в течение 5 лет. Однако у 12-32% пациенток с тяжелой дисплазией развивается рак шейки матки, потому ни в коем случае нельзя допускать бесконтрольного развития заболевания.
Определяется дисплазия и рак шейки матки при помощи ПАП-мазка – проверенного и надежного средства. Однако, для получения достоверных результатов, ПАП-мазок необходимо несколько раз пересдавать, чего часто не делают.
Для профилактики дисплазии шейки матки и выявления её на самых ранних стадиях, женщинам старше 21 года необходимо проходить регулярное ежегодное обследование. Женщины после 30 лет, у которых было 3 отрицательных мазка могут обследоваться реже – раз в 2-3 года. Женщины старше 70 могут прекратить обследование, если за последние 10 лет все мазки были отрицательными.
Дисплазия – заболевание которое подлежит обязательному лечению, ведь борьба с раком шейки матки, в который она может развиться, намного дольше и сложнее. И, как показывает статистика, успешна она далеко не всегда.
Источники:
US National Library of Medicine