Зміст:
- Що показує рентген грудного відділу хребта
- Коли варто робити рентген грудного відділу хребта
- Як роблять рентген грудного відділу хребта
Рентген грудного відділу хребта — це обстеження, яке дозволяє оцінити стан кісткових структур середньої частини хребта. Дослідження проводять після травм, при болю у спині або грудній клітці, а також при підозрі на порушення постави чи обмеження рухливості.
Процедура виконується швидко і зазвичай не потребує складної підготовки. У цій статті пояснимо, що саме може показати рентген та як проходить обстеження.
Що показує рентген грудного відділу хребта
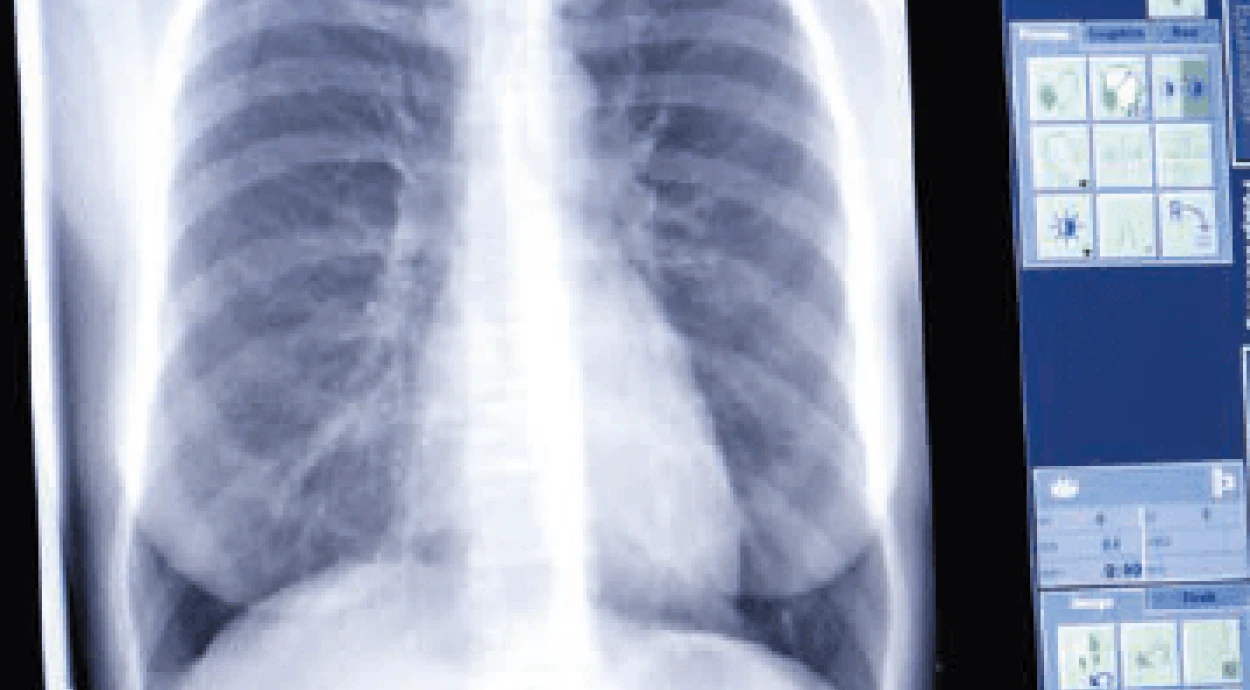
Рентгенографія грудного відділу хребта дозволяє оцінити анатомічну будову хребців і виявити структурні зміни кісткової тканини. Під час аналізу знімків лікар звертає увагу на форму хребців, їхню висоту, положення та взаємне розташування, що допомагає визначити наявність травм або деформацій.
На рентгенівських знімках можуть виявлятися:
- тріщини, компресійні ушкодження, переломи хребців;
- викривлення хребта, зокрема сколіоз та патологічний кіфоз;
- зміщення хребців відносно один одного;
- кісткові розростання (остеофіти);
- ознаки дегенеративних змін, пов’язаних із остеохондрозом або віковими процесами.
Оскільки грудний відділ анатомічно пов’язаний із ребрами, у поле рентгенівського знімка можуть потрапляти і інші структури цієї ділянки. У деяких випадках на зображенні можна помітити перелом ребра, а також інші травматичні ушкодження суміжних кісток, проте в таких випадках можуть знадобитися додаткові обстеження.
Коли варто робити рентген грудного відділу хребта
Найчастіше обстеження рекомендують у таких випадках:
- біль у середній частині спини, що посилюється під час рухів або тривалого сидіння;
- травми спини чи грудини;
- підозра на викривлення хребта;
- обмеження рухливості спини;
- біль у спині після падіння чи удару;
- контроль стану після травм або під час лікування.
Також обстеження можуть призначати, якщо біль у верхній частині спини зберігається тривалий час або супроводжується іншими симптомами. Результати рентгенографії допомагають лікарю визначити подальшу тактику діагностики чи лікування.
Як роблять рентген грудного відділу хребта
Перед початком дослідження пацієнта просять зняти одяг до пояса та прибрати всі металеві предмети в ділянці обстеження. Металеві елементи можуть створювати тіні на знімках і впливати на якість зображення, тому їх потрібно обов’язково зняти перед процедурою.
Після підготовки пацієнт займає потрібне положення біля рентгенологічного апарата або на спеціальному столі. Залежно від мети обстеження знімки можуть виконуватися у положенні стоячи або лежачи. Найчастіше рентген грудного відділу хребта роблять у прямій та бічній проекціях, що дозволяє лікарю детальніше оцінити будову хребців і їхнє розташування.
Під час створення знімка важливо залишатися нерухомим, щоб зображення було чітким. Саме рентгенівське випромінювання триває лише кілька секунд. Після цього знімок передається на комп’ютер для аналізу.
Отримані зображення оцінює лікар-рентгенолог. Результати дослідження можуть бути надані пацієнту у цифровому вигляді або у формі роздрукованих рентгенівських знімків. Для встановлення точного діагнозу результати обстеження інтерпретує лікар з урахуванням симптомів, даних огляду та інших досліджень.
Інформація в статті надана для ознайомлення та не є керівництвом до самостійної діагностики та лікування. При появі симптомів захворювання слід звернутися до лікаря.
Джерела: